Ecografía mamaria
La ecografía mamaria es una técnica que:
- Es esencial junto con la mamografía para la evaluación completa de pacientes con patología mamaria.
- Mejora la especificidad de la mamografía en la caracterización de nódulos.
- Suele ser la guía de elección en los procedimientos intervencionistas.

Es un examen que utiliza ondas de ultrasonido (no se usan radiaciones ionizantes) para evaluar la estructura interna del tejido mamario. Está indicado en la evaluación de masas o nódulos que hayan sido descubiertos en el examen mamario por palpación, o para caracterizar anomalías detectadas en la mamografía.

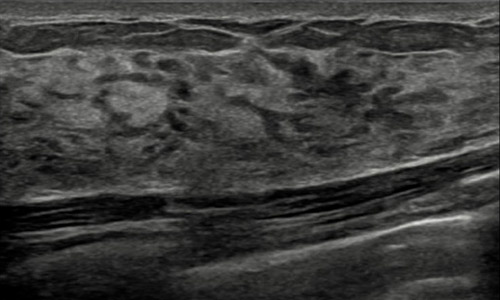
Cómo se ve el tejido mamario en una ecografía
Cuándo está indicada
La ecografía permite el estudio diferencial de nódulos que puede palpar el ginecólogo en la exploración clínica o que se visualizan en la mamografía.
La ecografía mamaría no sustituye a la mamografía de chequeo, debido a su incapacidad de detección de las microcalcificaciones (depósitos de calcio que en algunas ocasiones pueden indicar la presencia de un pequeño cáncer). Únicamente en el caso de gestantes y mujeres jóvenes se utiliza como método de diagnóstico inicial en lugar de la mamografía.
Indicaciones de la ecografía mamaria:
- Permite distinguir entre un nódulo sólido y uno de contenido líquido (quiste) y mejora la caracterización los nódulos sólidos (como complemento de la mamografía).
- Es un complemento diagnóstico en aquellas pacientes con tejido mamario denso.
- Valoración de ganglios axilares en el contexto de un carcinoma mamario de reciente diagnóstico.
- Como guía de procedimientos diagnósticos mínimamente invasivos como la punción aspiración con aguja fina o la biopsia con aguja gruesa.
- Se usa para la localización de lesiones no palpables con arpón previo a una cirugía y para la colocación de clips. Tanto el arpón como los clips sirven de guía al cirujano para su correcta extracción permitiendo una cirugía precisa.

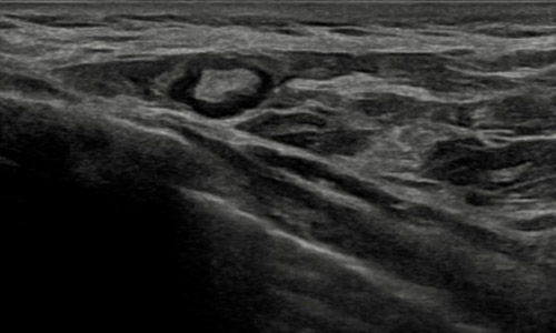
Ganglio axilar normal en ecografía
Cómo se realiza
La prueba no es molesta ni tiene riesgo alguno para la paciente.
Durante el examen ecográfico el radiólogo extiende un gel acuoso por ambas mamas que facilita un mejor contacto y conducción del transductor por la piel, mejorando la imagen.
La prueba no suele durar demasiado, generalmente no más de 10-20 minutos.
Preparación
La única preparación que precisa la paciente es descubrir la zona del cuerpo que se va a explorar, en este caso las mamas, y estar tranquila y relajadamente tumbada en la camilla.
Es de suma importancia, en caso de no haber realizado pruebas en Dexeus, aportar los estudios mamarios previos.
Información asistencial
La mayoría de las mutuas médicas dan cobertura a esta prueba previa autorización. En el momento de solicitar hora te informarán de la cobertura de la mutua y de los trámites a seguir.
En nuestro centro puedes disponer del informe de la prueba el mismo día de la exploración.